DİREKT RÖNTGEN
Merkezimizde tüm direkt radyoloji incelemeler yapılabilmektedir. Çekilen bu görüntüler, CR sistemleri ile dijital olarak elde edilmektedir. Bu incelemeler uzman radyologların denetiminde konusunda eğitim görmüş, deneyimli teknikerler tarafından yapılmaktadır.Çekilen görüntüler DİCOM formatında PACS sistemi üzerinden anında doktorlara ulaşmakta, görüntülerle ilgili her türlü veriye ister merkezimiz içinden ister dışından web üzerinden istenildiği zaman erişim imkanı sağlamaktadır.Rutin incelemelerin tümü uzman radyologlar tarafından raporlanmaktadır.










DİREKT RÖNTGEN TETKİKLERİ
- SİNÜS GRAFİLERİ
- Akciğer Grafileri
- Vertebra Grafileri
- Kemik ve Eklem Grafileri
- İVP
- KAFA GRAFİLERİ
- Ekstremite Grafileri ( Kol & Bacak )
- DÜS Grafi
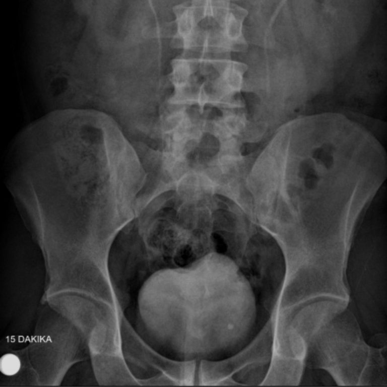
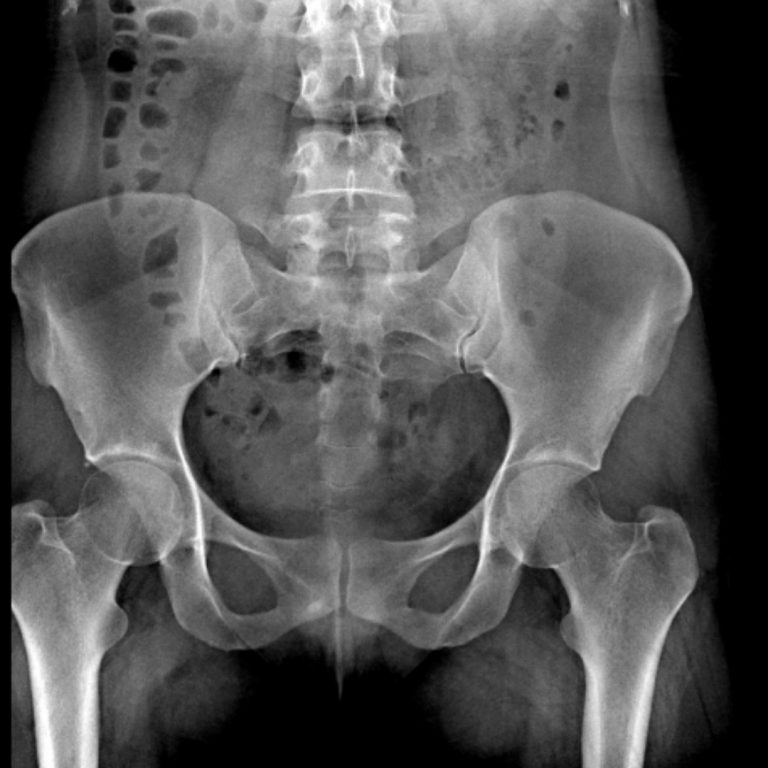
IVP- İNTRAVENÖZ PYELOGRAM
IVP böbrek inceleme filmi, böbrek ve idrar yolları hastalıklarının tanısında başvurulan radyolojik bir inceleme yöntemidir. Bu inceleme Merkezimizde,son sistem C kollu dijital röntgen cihazyla. bu alanda uzmanlık eğitimi almış hekimlerimiz tarafından yapılmaktadır.Böbrekler ve idrar yolları, karın içi organları (özellikle barsaklar) tarafından örtüldüklerinden röntgen filmlerinde net izlenemezler. Onları net olarak görüntüleyebilmek için incelemeye gelmeden önce barsaklarınızın boşaltılması amacı ile önceden “müshil” adı ile tanıdığımız bir ilaç kullanmanız gerekmektedir.Bu amaçla inceleme randevunuzdan önce size tarif edildiği şekilde hazırlığınızı yaptıktan sonra hiçbir şey yemeyerek merkezimize aç karnına gelmelisiniz.
Içecek olduğunuz müshil ilacı sizi geçici olarak ishal yaparak barsaklarınızın boşalmasını sağlayacaktır. Ilaç, etkisini genellikle 8-10 saat içinde göstereceğinden size bildirilen dozların dışına çıkmamanızı öneririz. IVP filminde; böbreklerinizin ve idrar kollarınızın görüntülenmesi amacı ile “Radyolojik Kontrast Ilaçlar” adını verdiğimiz bir ilacın damar yolu ile enjeksiyonu gerekmektedir. Bu ilaçlar “iyot” içerirler ve kana karıştıktan sonra böbrekler tarafından süzülerek, röntgen filminde böbrek ve idrar yollarının görüntülenmesini sağlarlar.








- Sol üreter distal orifis düzeyine superpoze yaklaşık 5 mm çapındaki opasite kalkül açısından anlamlı bulunmuştur. Bunun sonucu geç fazda sol üreter distal 1/3 segmenti vizualize olmuştur ve normalden hafif geniştir. Bununla birlikte sol proksimal üreter ve sol renal pelvikaliksiyel sisteminde patolojik ektazi izlenmemiştir. Bulgular parsiyel obstrüksiyona yol açan üreter orifis kalkülü açısından anlamlı bulunmuştur.
- Sol böbrek orta ve alt kaliksiyel yapılarda sırasıyla 3 mm ve 3.5 mm boyutlarında 2 adet nonobstrüktif kalkül mevcuttur.
Bu tür ilaçlar doğrudan doğruya uzman hekimlerimiz denetiminde uygulandığından en ufak bir endişe duymamalısınız. Ancak, bazı alerjik bünyeli hastalarda “iyot”lu kontrast maddelerin daha ciddi alerjik reaksiyonlara da yol açabileceği bilinmektedir. Bu nedenle eğer; bilinen bir alerji hastalığınız varsa (astım, saman nezlesi gibi) ya da bu tür ilaçlar daha önce size uygulanmış ve herhangi bir rahatsızlığınız olmuş ise, bunu inceleme öncesinde radyoloji uzmanımıza bildirmenizi rica ediyoruz. Bu durumda rahatınız için gerekli ek önlemler alınabileceği gibi, daha farklı ilaç uygulamalarına veya inceleme yöntemlerine de karar verilebilir.
IVP İncelemesi için yapılması gerekenler ;
- Çekim öncesi 0531-263-55-90 nolu telefondan randevu alınız
- Herhangi bir ilaç kullanıyorsanız hekiminize mutlaka söyleyiniz. işlem öncesi bazı ilaçların en az 24 saat öncesinde kesilmesi gerekmektedir. (Metformin, aminoglikozid, NSAID gibi)
- Böbrek yetmezliği öyküsü olanlar ve 40 yaşın üzerindeki herkesin IVP öncesinde Kreatinin düzeyine bakılması gerekmektedir.
- 10 yaşından küçük çocuklar için hazırlık gerekmemektedir.
- Inceleme gününden iki gün önce diyete başlayınız
- Çorba, püre, meyve suyu, muhallebi, puding, komposto vb. yağsız, hafif ve posa bırıkmayan gıdalar alınız. Çiğ sebze, meyve, salata, süt ve yoğurt yemeyiniz.
- Diyetin ilk günü, verilen ilacın birinci yarısını akşam yemeğinden (2000) bir saat sonra (21 :00) içiniz.Diyetin ikinci günü, verilen ilacın ikinci yarısını akşam yemeğinden (20:00) bir saat sonra (21 :00) içiniz.
- ilaç içildikten sonra inceleme yapılana kadar hiçbir şey yemeyınız.
- Sabah aç karnına Betatom’ a geliniz.





ÖZEFAGUS GRAFİLERİ
- Özefagus Mide Duodenum Grafisi
- Özefagus Pasaj Grafisi
- Özefagus mide duodenum grafisi
Hastaya gaz yapıcı tablet ve baryumlu kontrast madde içirilerek, bu organların iç yüzeyleri görünür hale getirilir. Tetkik öncesinde hazırlık gereklidir.
Hazırlık: Tetkikten önce en az 8 saat hasta yemek yememeli, su ve sigara içmemelidir. Hasta, sürekli kullandığı ilaçları çok az miktarda su ile alabilir.
İnceleme nasıl yapılır ?
Önce, midenin hareketlerini azaltıcı bir ilaç hastaya damardan enjekte edilir. Daha sonra hasta gaz yapıcı tableti yutar, böylece midenin şişerek daha iyi görüntülenmesi sağlanır. Bunu takiben, hastaya baryumlu kontrast madde içirilir. Ekranda ilacın yemek borusu ve mideden ilerleyişi doktor tarafından izlenerek çeşitli pozisyonlarda filmler çekilir. Çekim, yaklaşık yarım saat içerisinde tamamlanır. İnceleme hastada herhangi bir rahatsızlık oluşturmaz.
MİDE GRAFİSİ
Miğde grafisi, üst gastrointestinal sistemdeki sorunları teşhis etmek ve değerlendirmek amacıyla kullanılan bir tıbbi görüntüleme testidir. Bu test, hastanın mide içeriğini, mide duvarının yapısını ve mide hareketlerini görsel olarak incelemeyi sağlar.Miğde grafiği çekimi için öncelikle hastaya kontrast madde verilir. Kontrast madde , mideye giriş yaparken ve mide içerisinde dağılırken röntgen cihazıyla çekilen görüntüler alınır.
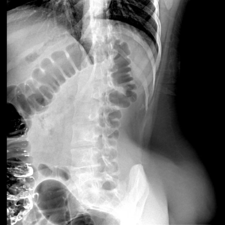
İNCE BARSAK GRAFİSİ
İnce barsakların kontrast madde içirilmesi (ince barsak pasaj grafisi) veya hastaya yutturulan bir tüp aracılığıyla hava ve kontrast madde verilmesi yoluyla (enteroklizis) incelenmesidir. Öncesinde hazirlik gereklidir. Tetkikten önceki 2 gün boyunca, hasta sulu gıdalar almamalıdır. Tetkik öncesinde, en az 12 saatlik açlık ve barsak tamizliği için müshil kullanimı gereklidir.
İnceleme nasil yapılır ?
Hastaya baryumlu kontrast madde içirilerek maddenin ince barsaklarda ilerleyisi doktor tarafindan ekranda izlenir. Kontrast madde kalin barsaklara kadar ilerler ve bu esnada çesitli pozisyonlarda filmler çekilir (Ince barsak pasaj grafisi). Ayrica daha detayli inceleme gerektiren durumlarda hastaya burnundan ince bir tüp yutturulur. Bu tüp, oniki parmak barsagina yerlestirilir ve tüpten kontrast madde ile birlikte hava verilir. Bu sekilde filmler alınır. Çekimin süresi, verilen kontrast maddenin kalin barsağa geçis süresine göre değisir.







Kontrast maddenin çekuma geçiş zamanı tabiidir. İnce barsak segmentlerinin lokalizasyonu mukozal yapısı tabiidir. Duodenum, jejenum genişliği, konturları ve pili yapısı tabiidir. Dolum defekti veya fazlalığı saptanmamıştır. Flokülasyon, segmentasyon ve fragmantasyon izlenmemiştir Terminal ileum kalibrasyonu normal sınırlar içinde olmakla birlikte mukozasında ödematöz paterne ait görünüm dikkati çekmektedir.
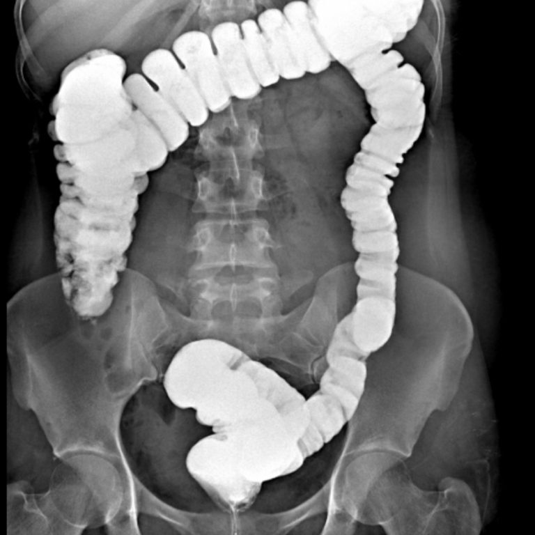
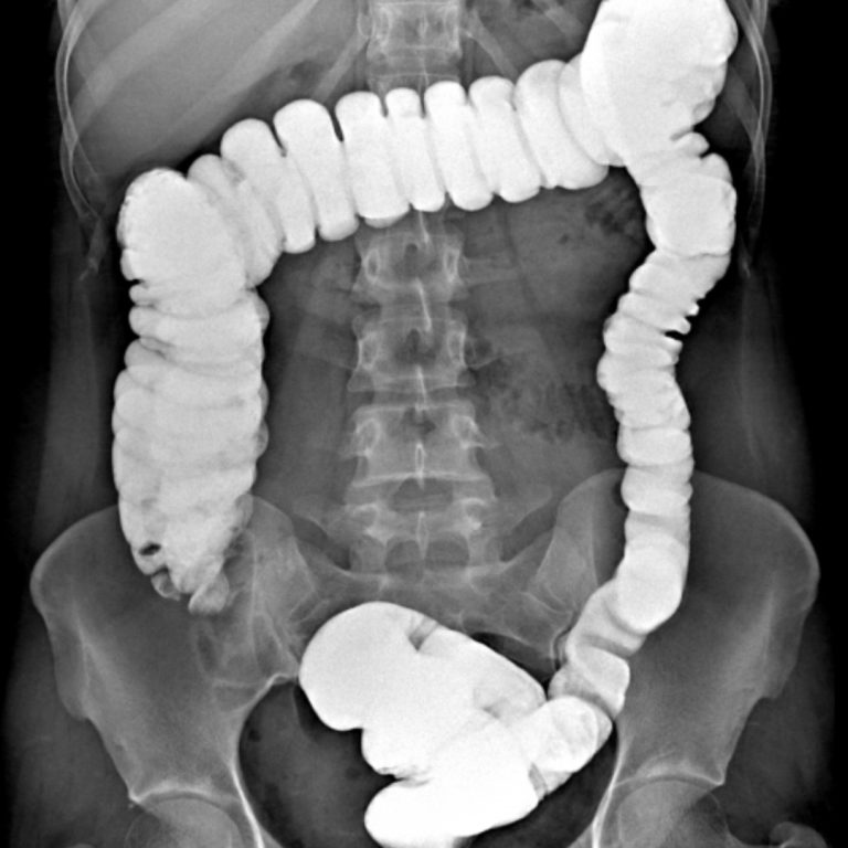
KOLON GRAFİLERİ
İki çeşit baryumlu kolon incelemesi vardır; tek kontrast ve çift kontrast. Kolon kanseri taramasında genellikle çift kontrastlı kolon tetkiki kullanılır.
- Tek Kontrastlı Kolon grafisi
Teknisyen makata bir tüp yerleştirir ve tüpün ucu baryum solüsyonunun olduğu torbaya bağlanır. Verilen baryum yavaşça kolonu sıvar. Bu şekilde kolon görünür hale gelir. Kolon baryum ile doldukça, dışkılama hissi duyulabilir. Baryum vermek için rektuma yerleştirilen tüpün ucunda küçük bir balon vardır. Tüp yerleştirildikten sonra baryum kaçışını engellemek için bu balon şişirilir. Tetkik esnasında masa üzerinde farklı yönlere dönülmesi istenebilir. Böylece verilen baryum tüm kolon segmentlerini doldurur ve kolonun farklı açılardan izlenmesine olanak sağlar. Filmler çekilirken nefesin tutulması istenir.
2- Çift Kontrastlı Kolon grafisi
Bu işlemin tek kontrastlı tetkikten en önemli farkı, kolonun hava ile doldurulmasıdır. Böylece daha kaliteli görüntü elde edilir. Polip gibi daha küçük lezyonlar rahatlıkla seçilebilir. Kolon tetkiki 20-30 dakikada tamamlanmakla birlikte, nadir durumlarda 45 dakikaya kadar çıkabilir. Bu tetkik karında hafif kramplara neden olabilir. Tetkikin bitimi ile şikâyetler sonlanır. Tetkik bitince rektuma yerleştirilen tüp çıkarılır ve kolonun boşaltılması istenir. Tetkiki takip eden birkaç gün dışkı, içeride kalan baryuma bağlı olarak beyaz, gri veya pembe görünümde olabilir. Geride kalan baryum kabızlığa neden olabileceğinden bol miktarda su içilmesi tavsiye olunur.



















Rektal yoldan verilen kontrast madde takıntısız çekuma ulaşmış olup ilioçekal bileşke serbesttir. Apendiks vizüalize olmuştur ve normal görünümdedir. Rektum posterior konturu muntazamdır. Presakral mesafe açıktır. Kolon boyunca belirgin haustrasyon artışı mevcuttur. Sigmoid kolon hafif elonge görünümdedir. Kolon lümeninde doluş defekti lehine bulgu saptanmamıştır. Evakuasyon fazında sağ kolon ve hafif sigmoid kolon içinde remnant kontrast madde kalmıştır. Diğer segmentlerdeki kontrast maddenin bulunmaması mukozanın ödemli olabileceğini düşündürmektedir. Çift kontrastlı grafiler ve sağ kolondaki kontrast maddesinin fragmane olduğu dikkati çekmektedir. Bulgular irritable kolonla uyumlu bulunmuştur.
VOİDİNG SİSTOGRAFİ
Voiding Sistoüretrografi (VSUG) mesane ve alt üriner sistemin değerlendirilmesi için kullanılan bir X-ışını ile görüntüleme yöntemi olup mesaneye bir sonda ile verilen kontrast madde aracılığıyla, işeme sırasında idrar yollarının görüntülenmesidir.Çocuklarda üriner sistem infeksiyonunu takiben vezikoüreteral reflü şüphesi varlığında VSUG incelemesine gerek duyulmaktadır.
Voiding sistoüretrografi için çocuğum nasıl hazırlanmalıdır ?
VSUG, X-ışını kullanan bir görüntüleme yöntemi olduğu için metal cisimler görüntüyü etkileyebilir. Bu nedenle çocuğunuzun metal düğme ya da fermuar içeren giysiler giymemesi gerekmektedir. Başka bir hazırlık yapılmasına gerek yoktur. Çocuğun inceleme sırasında işerken de görüntülenmesi gerektiğinden sakinleştirici ilaçlar genellikle kullanılmamaktadır. İnceleme öncesi çocuğunuzu çekim hakkında bilgilendirmeniz, çekimin çok daha rahat gerçekleşmesini sağlamakta ve gereksiz korkulara engel olmaktadır.Bu inceleme olası bir enfeksiyonun böbreklere taşınmaması için aktif idrar yolu enfeksiyonu varlığında yapılmamaktadır.Bu nedenle tetkik öncesinde idrar, idrar tahlili ve/veya idrar kültürü ile incelenmelidir. Kültürde mikrobik üreme varsa enfeksiyon tedavi edildikten sonra inceleme yapılmalıdır. İdrar tahlil ve/veya kültürü temiz ise herhangi bir sakınca yoktur.
Voiding sistoüretrografi nasıl yapılır ?
Radyoloji teknisyeni çocuğunuzu inceleme masasına yerleştirdikten sonra çocuğun hareketini engelleyici araçlar kullanabileceği gibi sizden de çocuğu tutma konusunda yardım isteyebilir. Kontrast madde verilmeden önce mesane boşken bir film çekilir. Daha sonra özel bir sıvıyla çocuğunuzun cinsel organını temizlenir ve mikropsuz bir ortam sağladıktan sonra ince bir kateter (ince, esnek bir tüp) idrar yolundan geçirerek mesaneye yerleştirilir. Tüpün ucu kontrast madde içeren bir torbaya bağlanarak yerçekiminin etkisiyle mesane tamamen dolana kadar beklenir.
Mesane dolarken mesaneden üst idrar yollarına kaçış olup olmadığına bakılarak çeşitli filmler çekilir. Mesane tamamen dolduğunda sonda çıkartılır ve çocuk idrarını yaparken seri filmler çekilir.İşeme sona erdiğinde mesanede idrar kalıp kalmadığını görebilmek için bir film daha çekilerek işlem sonlandırılır. İşlem ağrısız olmakla beraber küçük çocuklar hareketleri engellendiğinde ağlayabilmektedirler. Kateter takılmadan önce çocuğunuzun cinsel bölgesi mikroplardan arındırmak için özel bir sıvıyla temizlenir. Bu sıvı soğukluk hissi oluşturabilir. Kateterin takılması ve mesanenin kontrast madde ile doldurulması ağrısız olmakla beraber bazı çocuklar rahatsızlık hissedebilirler. Çocuğunuzun korkmaması ve sakinleşmesi için, radyasyona maruz kalabileceğinizden kurşun önlük giyme şartı ile çekim süresince yanında kalabilirsiniz. Tüm işlemler, yaklaşık 15 dakikada tamamlanır.
Voiding sistoüretrografi işleminden sonra ne olacak ?
Tetkikiniz tamamlandıktan sonra uzman hekimimiz tarafından ayrıntılı bir şekilde değerlendirilecek ve gerekli tanısal bilgileri içerdiğini düşünürse incelemeyi sonlandıracak ya da gerekli gördüğü takdirde ilave incelemeler yapacaktır. Çekimden 1 gün sonra filmlerinizi ve bulgularınızı içeren raporunuzu Betatom Merkezi bankosundan alacaksınız. Çekim sonrasında yapılması gereken özel birşey yoktur. İncelemeden sonra çocuğunuz, herhangi bir kısıtlama olmaksızın normal günlük aktivitelerinize devam edebilir ve herşeyi yiyip içebilir. Bu tetkiki isteyen hekiminize, film ve sonuçlarını mutlaka göstermeniz gerektiğini unutmayınız.
Voiding sistoüretrografi işleminden sonra ne olacak ?
Tetkikiniz tamamlandıktan sonra uzman hekimimiz tarafından ayrıntılı bir şekilde değerlendirilecek ve gerekli tanısal bilgileri içerdiğini düşünürse incelemeyi sonlandıracak ya da gerekli gördüğü takdirde ilave incelemeler yapacaktır. Çekimden 1 gün sonra filmlerinizi ve bulgularınızı içeren raporunuzu Betatom Merkezi bankosundan alacaksınız. Çekim sonrasında yapılması gereken özel birşey yoktur. İncelemeden sonra çocuğunuz, herhangi bir kısıtlama olmaksızın normal günlük aktivitelerinize devam edebilir ve herşeyi yiyip içebilir. Bu tetkiki isteyen hekiminize, film ve sonuçlarını mutlaka göstermeniz gerektiğini unutmayınız.
VSUG, hekimlerinize kalıcı böbrek hasarına yol açabilecek idrar yolu hastalıkları hakkında ayrıntılı bilgi vererek doğru tanıya ulaştırmada ve sizin için en iyi tedavinin planlanmasında yardımcı olacaktır. VSUG, genellikle idrar yolu patolojilerine bağlı oluşan reflünün tanısında ve gerekli tedavinin belirlenmesinde yeterli bilgi sağlamaktadır. Bu sayede çoğu zaman tanısal cerrahi yöntemlerin uygulanmasına gerek kalmamaktadır.
Radyasyon ve Kontrast maddenin yan etkileri nelerdir ?
Betatom’ da tam dijital c kollu röntgen cihazı kullanıldığından İşlem sırasında hasta az miktarda radyasyon alır. 5 ile 10 yaş arasındaki çocuklarda bu incelemeye bağlı maruz kalınan efektif radyasyon dozu yaklaşık 1.6 mSv olup ortalama bir insanın 6 ayda maruz kaldığı doğal arka plan radyasyonuna eşdeğerdir. Yenidoğanlarda efektif radyasyon dozu yaklaşık 0.8 mSv olup ortalama bir insanın 3 ayda maruz kaldığı doğal arka plan radyasyonuna eşdeğerdir. Ancak bu tetkiklerin faydası, az miktardaki radyasyonun zararları yanında çok fazladır.Çok ender olarak kullanılan kontrast maddeye karşı alerjik reaksiyonlar gelişebilir. İşlem sırasında mümkün olan durumlarda cinsel organlar kurşun önlükle korunarak çocuklarınızın güvenliği için azami özen gösterilmektedir. Çocuğunun yanında çekim sırasında bulunmak isteyen annelerin gebe olma olasılığı varsa mutlaka radyoloji hekiminize danışmaları gerekmektedir.
Voiding sistoüretrografi sonrası hekiminizi aramanız gereken durumlar nelerdir ?
İncelemeden sonra herhangi bir alerjik reaksiyon gelişmişse mutlaka hekiminizi arayınız. Tetkikle ve sonuçlarıyla ilgili sorularınız varsa hekiminizi randevu saatleri içerisinde mutlaka arayınız.


