
Emar – (Signa Explorer)
Ayrıca bu özellik kemik görüntüleme imkanı da sağlamaktadır. Buna ek olarak hareketli dokular..

Açık Emar ( Open Mr )
Açık MR sistemlerinde inceleme genellikle 3 tarafı açık daha geniş, daha ferah ve daha az gürültülü.....

Multislice Bilgisayarlı Tomografi
Bu inceleme görüntü kalitesi ve inceleme bakımından avantaj sağlamaktadır...

2.Düzey Ultrason
Genel bakış bölümünde
önce bebeğin
eşi (plasenta), kordonu ve suyu...

4D Renkli Doppler
Sesin hareket eden yapılardan yansırken frekans değişikliği göstermesi temeline ...

HSG (Rahim Filmi)
Rahim filmi olarak bilinen “Histerosalpingografi” (HSG) rahim boşluğunun

Direkt & Endirekt Röntgen
Ayrıca bu özellik kemik görüntüleme imkanı da sağlamaktadır. Buna ek olarak hareketli dokular..

Skolyoz & Orthonoröntgenogram
Bu iki yöntem sayesinde tüm bel kemiğini (omurga) ve her iki bacağı film üzerinde görüntülemek mümkün...

Dexa - Kemik Dansitometresi
Çok düşük radyasyon dozlarında çalışan mamografi cihazımız var. Bu cihazla memede yer kaplayan...

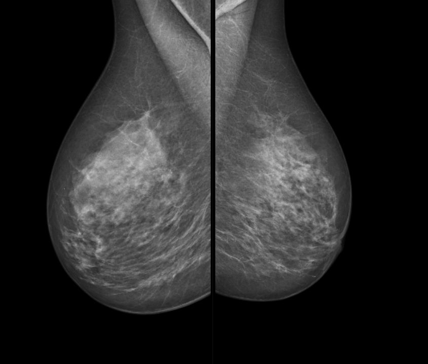
Mamografi
Çok düşük radyasyon dozlarında çalışan mamografi cihazımız var. Bu cihazla memede yer kaplayan...

Laborautuvar
Betatom görüntüleme hizmetlerinde olduğu gibi, laboratuvar alanında da kaliteyi esas almayı, bilimsel gelişmeleri sürekli ...

Dental Tomografi
Dental tomografi x-ışını kullanılarak incelenmek istenilen bölgenin kesitsel görüntüsünü oluşturmaya yönelik...

EMG & EEG
EEG,Beynin normal elektriksel faaliyeti başta epilepsi(sara hastalığı) olmak üzere....
